Accessible Version
Blue Sky Dental
Blue Sky Dental Is Now Open on Fridays!
Scroll down to see our new office hours 

We are very excited to welcome Dr. Audra Martinez, DDS. 
Dr. Martinez will join us on Mondays starting on September 15th.
Check out her Bio in our Blog.

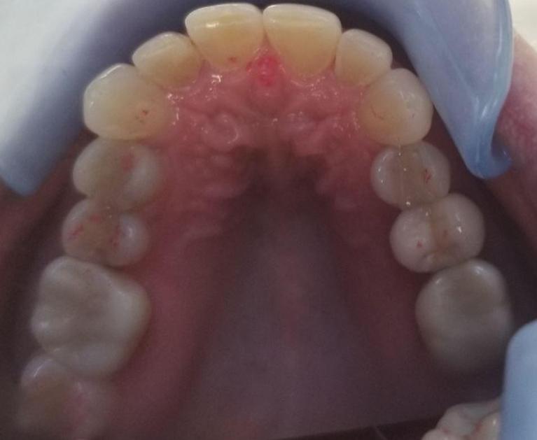
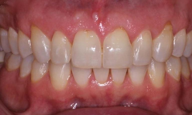
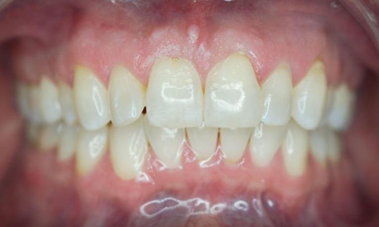
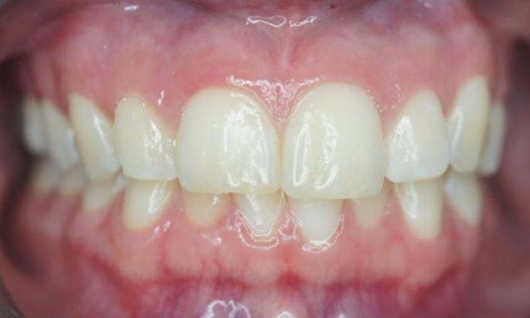
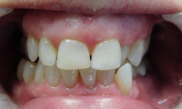
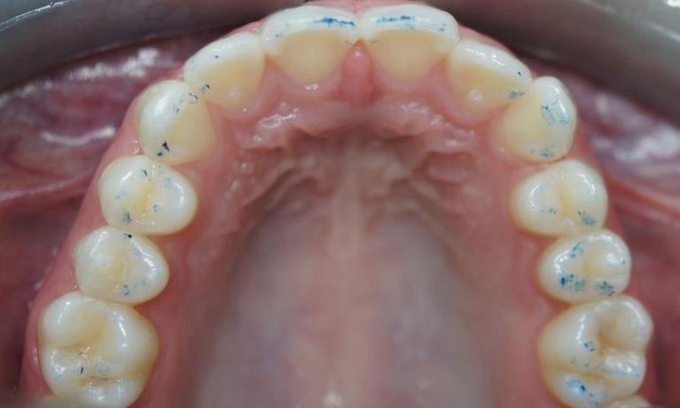
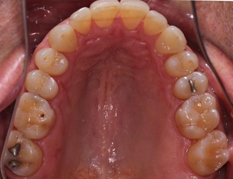
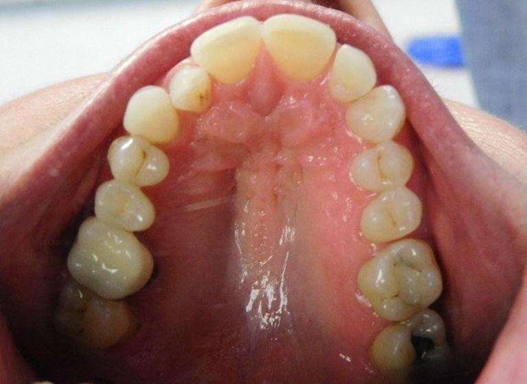
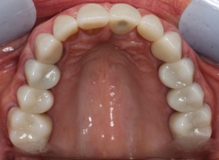
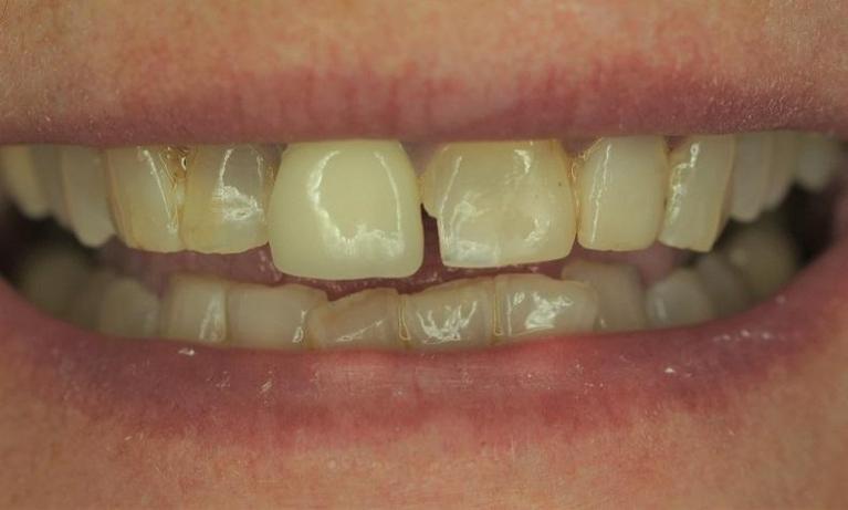
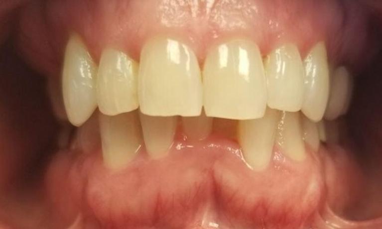
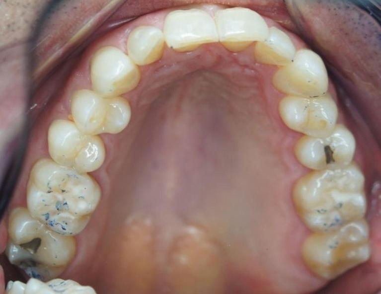
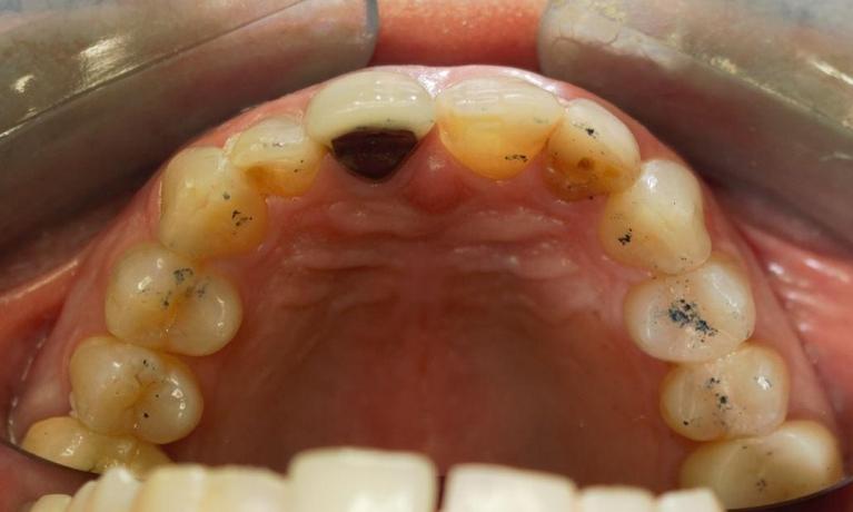
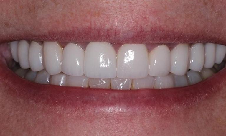
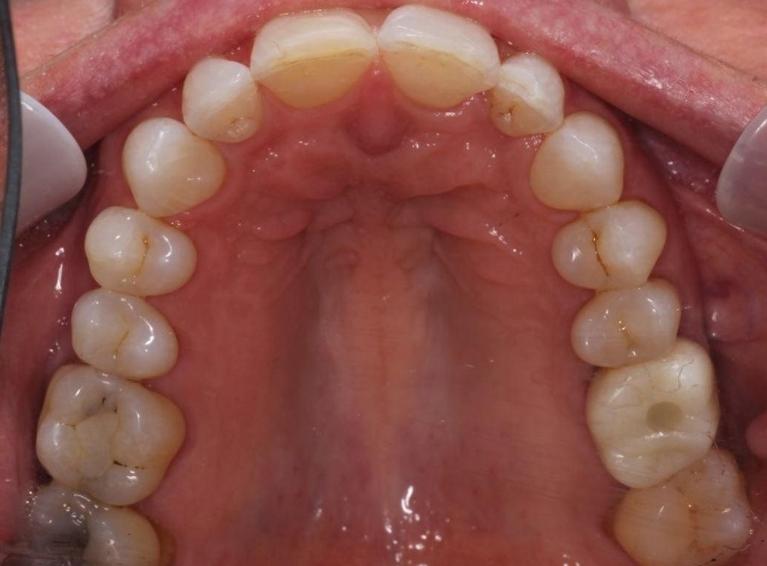
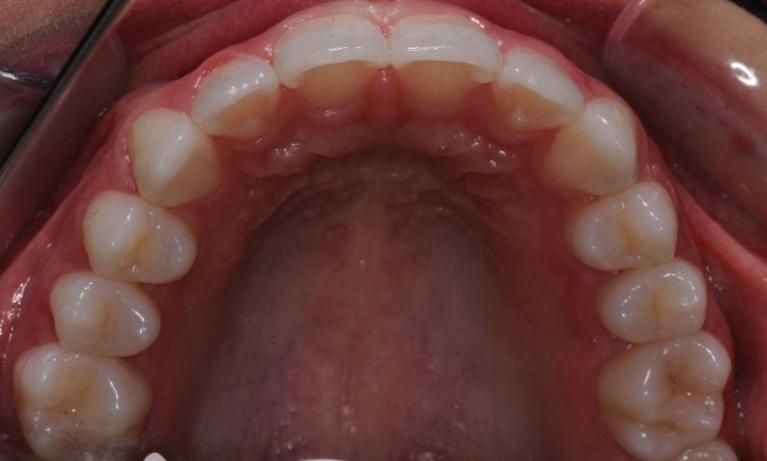
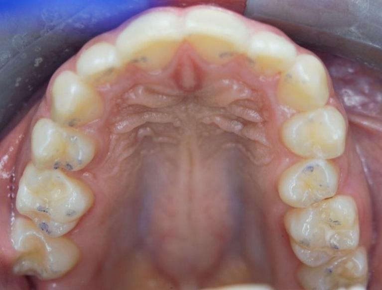
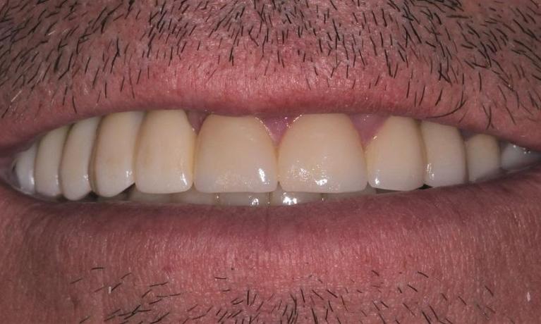
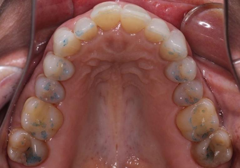
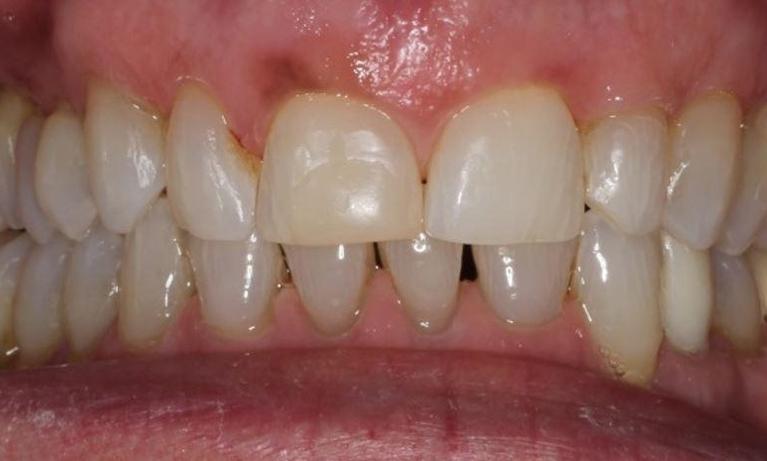
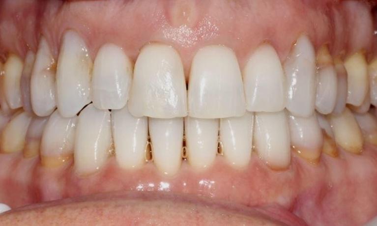
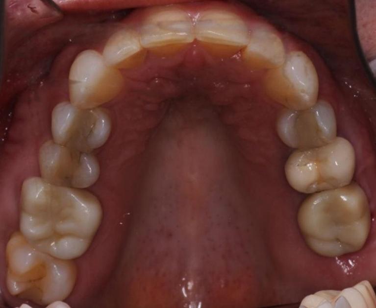
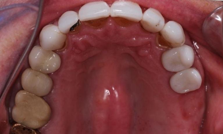
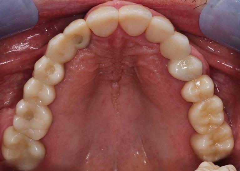
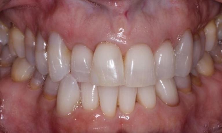
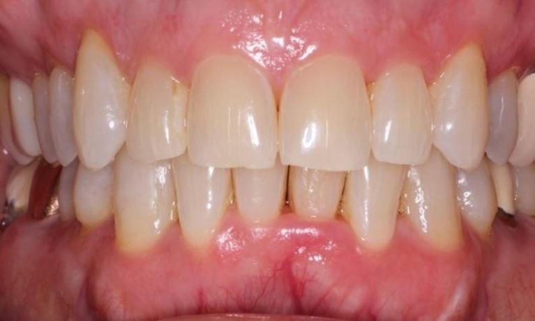
Smile Gallery

Taking the first step to improve your oral health and the look of your smile starts with a phone call to our Albuquerque dental office. We look forward to helping you reach your smile goals and until then, please take a look at the dramatic results we can achieve.

Ready to book an appointment?
Great Dentist

“Dr Woods and his staff are the absolute BEST for my dental care. I'm a big chicken and could not tolerate any discomfort with my teeth and mouth care - The entire staff is careful, considerate, and conscientious in their treatment of my safety, comfort, and dental care. They are stuck with me (and my entire family!)” Traci C.
 
 
 
 

If you have difficulty using our website, please email us or call us at (505) 275-2492
View the ADA Accessibility Statement